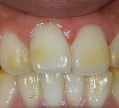
皓齿美白技术是一项正流行于欧美的牙齿美白技术,它将高强度定点照射,不仅可以去除牙齿表面的色素沉积,及深层所附着的色素,美白效果持久有效,短短的1个小时,让您拥有一口润白亮泽的牙齿。具有持久、自然、快速、专业等特点。
高效快速:皓齿美白技术通过氧化剂过氧化氢中的小分子,分解清除牙变色的色素分子。不改变牙齿结构的情况下,产生美白作用。
舒适微痛:传统美白方法的漂白剂和光照都会使牙齿脱水,脱水造成牙齿敏感(发酸、怕凉)和疼痛等情况,而皓齿美白技术中的硝酸钾,可防止神经细胞在疼痛中去极化的复极来止痛。
效果持久:在皓齿美白技术的美白加保护的原理下,氟化剂促使牙釉质新生而形成对牙齿的保护,能使过氧化剂的美白作用更明显,美白后的牙齿也能得到更有效的保护。美白效果可持续5年以上。

E-max全瓷贴面技术是当代美容修复领域中的重要治疗内容,对于前牙有缝隙或是小缺损的患者是一种更微创更有效地治疗方式,仅需将唇面磨出仅仅 0.3mm甚至更少,就能取模制作贴面。E-MAX是美观、自然的牙齿材料,其通透性和色彩度已经达到了接近优秀的效果。
极少磨牙:更薄达0.1mm,无需钻孔以及大量磨牙,不伤害牙体,轻度修整更大限度保留牙齿原有结构。
长久美白:采用进口贴面材料,坚固耐用,贴合性好,能够使修复后的牙齿长久保持亮白。
无异物感:无需磨切牙齿的舌侧部分,可以保存大部分甚至全部的舌侧形态,毫无异物感,舒适性佳。
数码定制:3D模拟工艺, 独身定制,对求美者牙齿进行多角度的拍照,根据脸型、嘴唇等进行个性化的设计。