
-
四环素牙如何治疗?
很多60、70年代的人由于小时候服用过四环素类药物,致使正在生长发育中的牙齿吸收了这类药物,这些药物在牙齿上留下的代谢产物,沉积在牙本质小管内,从而使牙齿呈灰、黄... [详情]

-
四环素牙能变白吗?
四环素牙主要是指服用了四环素类药物导致的牙齿变色脱矿,它随着病变的严重程度不同而呈现出黄色、灰色甚至是灰褐色等,对美观的影响很大。那么四环素牙能变白吗? 四环... [详情]

-
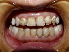
重度四环素牙怎么变白?
四环素牙是由于在胎儿发育时母体服用了四环素类药物,或者是儿童时期自己服用了四环素类药物,导致药物中的四环素在牙本质中沉积过多,从而牙齿变色。四环素牙按照程度... [详情]

牙贴面
给牙齿做“面膜” 一贴重获如新
美牙冠
美牙不伤牙 快捷修复
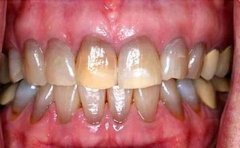
牙贴面是指在不磨牙或少磨牙的情况下,应用粘接材料,将薄层瓷修复体固定于患牙唇、颊面,以恢复影响好看的缺损、遮盖变色等缺陷的一种修复方法。
使用于中、重度四环素牙、小面积崩裂、牙缝隙
-

- 瑞士e.max press 全瓷冠
瓷与瓷相溶性结合更为牢固,抗折力高,耐磨度与自然牙相近。
-

- 德国西诺德仿生全瓷冠
使用的氧化锆材料强度可达1400Mpa以上,具高抗疲劳和折断能力。
-

- 美国3M lava仿生全瓷冠
品质认证,创新的专利化学染色技术推出8种内冠颜色,打造宛若真牙的通透效果。
-

- 紫晶二氧化锆仿生冠
采用新生物仿生技术,成形后牙齿达到优秀的协调统一,色泽逼真。
-

- 瑞典Procera氧化锆美牙冠
可获得的生物相容性和美丽坚固的修复效果,适应症广泛,是全瓷冠中的优选。

























