• 康贝佳首页
  • 欢迎来到康贝佳官方网站,专注口腔健康,笑出精彩人生!咨询热线:024-31657653
  • 关于我们:

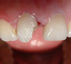
牙齿缺损

牙齿缺损是指各种牙体硬组织不同程度的出现质地和生理解剖外形的损坏或异常,它常表现为正常牙体形态、咬合及邻结关系的破坏。

适宜人群:牙龈萎缩、牙周病、龋病、牙冠缺损、牙髓炎、根尖周炎等

治疗技术:即刻种植牙、瓷贴面、美牙冠

牙掉了一半还能补吗
牙齿掉了一半怎么补?康贝佳口腔医生介绍,牙齿掉了一半是可以用重新装牙冠的方式进行治疗。因为不了解具体的情况,初步建议做两种修复方案的准备, 一个是全瓷牙修复,一个是烤瓷牙修...[详细]2017-04-13 阅读:

牙掉了一半还能补吗
牙齿掉了一半怎么补?康贝佳口腔医生介绍,牙齿掉了一半是可以用重新装牙冠的方式进行治疗。因为不了解具体的情况,初步建议做两种修复方案的准备, 一个是全瓷牙修复,一个是烤瓷牙修...[详细]2017-04-13 阅读:

牙齿磕断了一半怎么办
牙齿磕断了一半怎么办?康贝佳口腔医生介绍,牙齿磕碰是我们经常遇到的情况,断了一半的牙齿不仅影响吃饭,而且容易滞留食物残渣,引发口腔疾病,这个时候建议尽早治疗。那么,牙齿磕...[详细]2016-12-27 阅读:

牙齿断了还可以镶牙吗?
华先生的小孩因为骑车意外摔断了两颗牙齿,不知道怎么办才好,所以拨打了我们康贝佳的医生热线,询问牙齿断了之后应该怎么办,牙齿断了还可以镶牙吗? 镶牙方式众多,了解清楚再选择...[详细]2016-12-27 阅读:

沈阳牙齿缺损补牙多少钱?
牙齿缺损不仅影响美观,还会对咀嚼功能造成影响,容易引发龋齿和牙周病。那么,沈阳牙齿缺损补牙多少钱?针对这个问题,我们来听听康贝佳口腔医生怎么说。 补牙要多少钱? 沈阳牙齿缺损...[详细]2016-12-27 阅读:

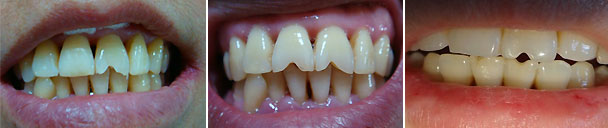
牙齿缺损的3种修复办法
牙齿缺损后修复的方法有很多,例如烤瓷牙、美牙冠、瓷贴面等,那么各种修复方式有何不同呢?下面来看看康贝佳口腔医生的介绍。 我适合哪种修复方式?在线咨询 一、烤瓷牙 烤瓷牙是恢复牙...[详细]2016-12-27 阅读:

牙齿缺损对身体健康的危害
俗话说牙好胃口就好。据沈阳康贝佳口腔医生介绍,我国老年人90%以上都有不同程度的牙齿缺失,而且仅有30%的老年人镶配了假牙。 有很多老年人认为:人老了能凑合着吃饭就行了,镶牙怪麻...[详细]2016-12-27 阅读:

牙齿缺损用嵌体补牙好吗?
对于有很大缺损的牙齿,用补牙来修复就难以获得好的效果,这时医生会建议做嵌体补牙来修复缺损的牙齿,那么,牙齿缺失用嵌体补牙好吗? 嵌体补牙多少钱? 牙齿缺失用嵌体补牙好吗? 对于...[详细]2016-12-27 阅读:

牙齿缺损-断牙如何有效修复?
美观整齐的牙齿在容貌中占据着相当重要的位置,因此有齿白三分俏的说法。另外,牙齿的功能是要帮助嚼碎食物,帮助胃肠道消化,吸收营养成分等。因此牙齿缺损不仅对我们的形象有影响...[详细]2016-12-27 阅读:
  • 19条记录
  • 病症介绍
      牙齿缺损是指各种牙体硬组织不同程度的出现质地和生理解剖外形的损坏或异常,它常表现为正常牙体形态、咬合及邻结关系的破坏。
    病症危害

      一、影响面形美观

      二、对剩余牙的影响

      牙齿龋齿会导致相邻的牙齿向缺牙空隙内倾斜、移位,缺牙空隙相对应的牙齿将因无对抗力量而逐渐伸长,咬合关系和牙齿排列出现错乱,致使剩余牙齿失去正常的邻接关系,造成食物嵌塞。

      三、咀嚼功能减退或丧失

      个别或全口牙齿缺损后,咀嚼效率随之降低或丧失,从而导致胃肠功能紊乱,影响人体对营养成分的吸收,严重者机体可出现消化系统的疾病。

      四、影响发音

      当缺牙较多时,特别是前牙缺失或全部牙齿缺失时,可造成不同程度的发音障碍,说话既费力又不清楚。

    治疗方法

      如果牙齿缺损伤及牙根,无保留可能——可选微创即刻种植牙

      康贝佳微创即刻种植牙采用先进口腔CT全景诊疗及3D导板,结合微创技术精准植入种植体,实现即拔即种、术后即可简单饮食的种植效果。

      如果你是牙齿表面轻微缺损,如瓜子牙——可选康贝佳瓷贴面修复

      康贝佳瓷贴面运用进口粘接材料将超薄工艺瓷修复体固定于患牙表面,以恢复正常的牙齿形态,是解决因缺损造成的形象问题,遮盖变色牙等缺陷的修复方法。

      如果你是严重牙齿缺损,如牙体断了一半——可选择德国智能美牙冠

      康贝佳德国智能美牙冠应用全新科技的自然仿生美牙冠技术,融合牙齿美学修复理念,能够在短短几天时间内实现美牙,治牙,矫牙的多方面牙齿修复。

    注意事项

      1. 要注意口腔卫生。要遵循医生指导,在清洁天然牙的同时,也要注重对修复体的清洁。

      2. 要维护好修复体。尽量不用前牙切咬较硬食物,后牙也不要咬过硬食物。

      3. 出现问题及时找医生处理。出现到疼痛、炎症、义齿损坏等问题时,不要自行做处理,以防延误甚至加重病情,应及时联系医生复诊。

      4. 要定期复查。正常情况下,一般半年到一年复查一次,医生在做常规口腔检查的同时,可以针对修复体做系列检查,必要时需要进行调整或修理。

      5. 正确理解和面对适应的过程。对于适应的过程,戴用修复体后不要急躁,理解适应的过程,绝大多数求美者均可很好的适应并使用修复体。

    常见问题
    • 牙掉了一半还能补吗

      牙齿掉了一半怎么补?康贝佳口腔医生介绍,牙齿掉了一半是可以用重新装牙冠的方式进行治疗。因为不了解具

    • 沈阳牙齿缺损补牙多少钱?

      牙齿缺损不仅影响美观,还会对咀嚼功能造成影响,容易引发龋齿和牙周病。那么,沈阳牙齿缺损补牙多少钱

    • 牙齿缺损的3种修复办法

      牙齿缺损后修复的方法有很多,例如烤瓷牙、美牙冠、瓷贴面等,那么各种修复方式有何不同呢?下面来看看康