- 当前位置: 首页 > 牙齿不齐
- 为什么越来越多的人做牙齿矫正?不少明星也在做
- 来源:康贝佳口腔 发布时间:2019-02-16 16:57
-
你还在拖延牙齿矫正?牙齿矫正对外貌有多大影响?一起看看下面的图你就明白了!
1、龅牙(牙齿前突)
牙齿前突的现象在中国人中算是相当常见的,除了牙齿前突引起的嘴巴突出不美观的情况之外呢,牙齿前突的人还比较容易出现法令纹,看起来有些显老。

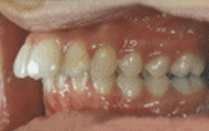
2、兜齿(地包天)
在正常自然状态下我们咬合牙齿,上牙会比下牙略往前一点,但“地包天”的情况则刚好相反。这样看起来下巴就不够立体,也容易让整个脸型成为人们所说的“猪腰子脸”“月牙脸”,特别影响美观,对牙齿咬合也存在影响。

3、露龈笑(笑漏牙龈)
引起露龈微笑的原因有软硬组织两方面因素:像上唇过短或是上颌牙槽骨过高等。上唇过短,可以通过进行唇肌锻炼得到缓解。
4、深覆合
就是咬合过深,指的是上前牙切缘盖过下前牙牙冠长度1/3以上或下前牙咬合于上前牙舌侧1/3以上者

因为咬合太深,从侧面看面部下半部分过短以及下巴后缩。深覆合不仅会加重前牙的磨耗,影响牙周组织的健康,还可能诱发颞下颌关节病变等问题。
5、开合(前牙咬不到一起)
口腔不良习惯如吐舌、舔牙、伸舌、吸手指等,是常见引起牙齿开合的原因。开合因前牙咬不到一起,非常影响前牙咀嚼,因此常一起伴有肠胃及呼吸道问题。

了解了牙齿对面部的影响,你是不是也意识到了牙齿对“颜值”的重要性?
牙齿矫正还有哪些优势呢?
1、有利于牙周健康的维护
不整齐的牙齿会给刷牙带来一定的难度,易发牙石沉积,口臭等,时间长了可能发生牙齿松动,牙龈退缩等,就更加难于治疗!而通过正畸让牙齿排列整齐后可以方便保洁,可以预防龋齿及牙周病。
2、矫正能清除咬合创伤
咬合力量不均衡会导致牙齿损坏,使得牙齿更容易过早松动、脱落,而通过正畸让牙齿排列关系、咬合关系达到正常,对牙齿起到良好的保护。

3、矫正能让您更健康,更美的外观
达到更好的口腔功能、更长久地保持牙齿的健康、更美的外观。牙齿严重的暴牙或大牙缝影响美观或自己的命运。
4、矫正有利于增强个人的自信心
牙齿不美观的人绝对不如带着牙齿矫治器的人生活态度更积极,心理更健康!
- 上一篇:寒假来袭 矫牙黄金期不可错过
- 下一篇:矫正牙齿后牙会掉?怎么办?

























