- 当前位置: 首页 > 氟斑牙
- 氟斑牙的美白费用与什么有关
- 来源:康贝佳口腔 发布时间:2016-12-25 16:05
-
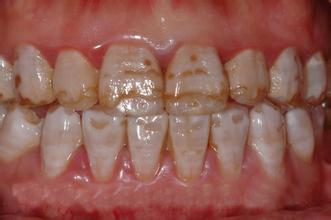
氟斑牙的美白费用与什么有关?饮用水中的含氟量过高就有可能造成氟斑牙的出现,不仅影响面部美观,牙齿的抗龋齿能力也会降低,对于身体健康也会造成威胁,美白氟斑牙是很多人的心愿,但是美白牙齿的费用一直是大家较关心的问题,那么,氟斑牙的美白费用与什么有关? 下面康贝佳口腔医生就来介绍一下氟斑牙美白费用与什么有关。

氟斑牙的美白费用与什么有关?
1、医生的资质和选择的机构
氟斑牙美白的费用与选择的医生资质及机构有关。好的医生会有着丰富的美牙经验,美白牙齿之前都会与市民进行了解沟通,并根据市民的五官、肤色,选择自己的牙色,为市民制定符合自己的美牙方案。牙齿美白也没有统一的价格,不同地方不同医院的价格都不同,所以针对牙齿美白的价格需要综合考虑。>>>沈阳美白医院哪里好?>>>
2、所在地当地的物价水平
氟斑牙美白的费用与所在地区的物价水平有关。每个地区的消费水平都是不一样的,物价水平高的地方,牙齿美白的价格会相对高些,而物价水平低的地方价格会低些。沈阳是一个综合性的大城市,物价相对会高一些,所以进行牙齿美白的价格就会高一些。
3、跟牙齿的情况有关
氟斑牙美白的费用与牙齿的情况有关。每个人的牙齿情况都是不一样的,牙齿变色的程度也不同,如今牙齿美白的方法有很多,针对不同氟斑牙的程度有着不同的效果,当然价格也就不一样。>>>氟斑牙用什么美白方式好?>>>
氟斑牙的美白费用与什么有关?看了上面知识点的介绍,相信您已经知道并了解了,您的爱美之路在我们的陪伴下一定会走的更通畅,如果您还有不了解的问题,欢迎在线咨询,康贝佳口腔会竭诚为您服务,为您的美丽贡献自己的力量。


























