- 当前位置: 首页 > 牙齿缺损
- 牙齿缺损用嵌体补牙好吗?
- 来源:康贝佳口腔 发布时间:2016-12-27 12:26
-
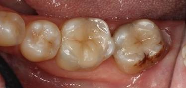
对于有很大缺损的牙齿,用补牙来修复就难以获得好的效果,这时医生会建议做嵌体补牙来修复缺损的牙齿,那么,牙齿缺失用嵌体补牙好吗?>>>嵌体补牙多少钱?

牙齿缺失用嵌体补牙好吗?
对于很大的牙齿的缺损,银汞和树脂都不理想。比较理想的修复方法是用嵌体来恢复缺损的牙齿。它可以很好的恢复牙齿的外形和功能。尤其是对破坏到牙齿邻面的龋洞,长久效果更佳。嵌体是一种嵌入牙体内部,用以恢复牙体缺损的形态和功能的修复体或冠内固位体。与银汞合金充填相比,铸造嵌体的优点是机械性能优良 。>>>了解更多嵌体内容
嵌体的适应症:各种严重的牙体缺损已涉及牙尖、切角、边缘嵴及合面,需要咬合重建而不能使用一般材料充填修复者;因牙体缺损的邻接不良或食物嵌塞严重,需恢复邻面接触点;固定桥的基牙已有龋洞或要放置栓体、栓槽附着体者,可以设计嵌体作为基础固位体。
以上就是我们对“牙齿缺损用嵌体补牙好吗?”的回答啦!如果您还想了解更多关于嵌体补牙的内容,不妨直接在线咨询或是拨打我们的24小时免费热线:024-31657653。
- 上一篇:牙齿缺损的3种修复办法
- 下一篇:牙齿缺损对身体健康的危害


























