- 当前位置: 首页 > 医院动态
- 感念师恩,师生组团享钜惠
- 来源:康贝佳口腔 发布时间:2017-09-12 14:34
-
金秋9月,即将迎来全国第33个教师节。教师作为“人类灵魂的工程师”,在三尺讲台上默默耕耘、孜孜不倦,为社会培养输送了一批又一批人才。教师们将大量的时间精力花费在孩子教育上,也因此忽略了自己的身体健康,长期高强度的工作为自己的身体健康埋下了隐患。
教师口腔健康情况堪忧
由于教师的工作环境和职业特点,经常接触粉尘,长时间用嗓,常有口干舌燥之感,相应的口内唾液减少,导致唾液粘稠度增加,更易形成菌斑;同时,在较大的工作强度与压力下,教师们往往忽视自己的口腔问题,龋齿、牙周炎等各种口腔问题也就随之出现了。

关爱教师,教师节凭证优惠
值此教师节到来之际,沈阳康贝佳口腔为表达对人民教师的崇高敬意,特在9.8日-10日举办教师美齿特惠活动。
▲凭教师证享牙齿治疗项目8折优惠;
▲来院种牙赠送价值380元气动舒适洁牙;
▲另消费每满1万立减500元;让教师朋友们实惠种牙、智慧美齿。
师生组团同享,共享牙齿美白钜惠
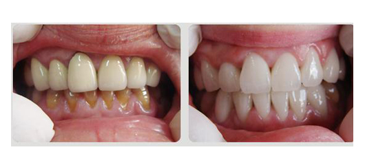
看别人在校园里都是成双成对,自己却因为一口黄牙得到的却是同学们嘲笑。作为老师,每天面对那么多学生,怎么好意思顶着一口大黄牙和同学们讲课。机会来啦,在教师节师生一起组团去康贝佳做牙齿美白,共享钜惠,逢双立减900元。

康贝佳技术:即刻种植牙
针对许多教师特别是退休教师们因为各种原因造成的牙齿缺失甚至无牙状况,沈阳康贝佳口腔推荐即刻种植技术。目前风靡的即刻种植自优先引进沈阳以来,广受各界欢迎。为了在教师群体中推广普及种植牙,此次将推出教师感恩价,为教师们提供经济上的帮助,让教师们尊享这一超越口腔种植技术成果。》》》康贝佳种一颗牙多少钱
据介绍,“即刻种植”作为快速种植牙新技术,牙患者只要体检通过适合种植,当天即可接受手术。相比传统种植体以及假牙,“即刻种植”有相当大的优势,无疼且舒适、快速,设计上兼顾了美观和坚固;患者术后即可吃饭,咀嚼,治疗后也不需要多次往返。这些特点较大的提升了患者生活品质,是技术上的重大革新。
教师,一个神圣的职业,沈阳康贝佳口腔向所有辛勤的“园丁”致礼,老师,你们辛苦了!祝天下所有老师节日快乐!》》》点击预约康贝佳口腔教师节活动
- 上一篇:全民爱牙月,康贝佳正在行动
- 下一篇:看吴博士种植牙公开课,即刻种好牙

























