• 康贝佳首页
  • 欢迎来到康贝佳官方网站,专注口腔健康,笑出精彩人生!咨询热线:024-31657653
  • 关于我们:

当前位置: 首页 > 美牙冠

美牙冠

Dental implants

免费咨询电话:
024-31657653

QQ咨询在线咨询
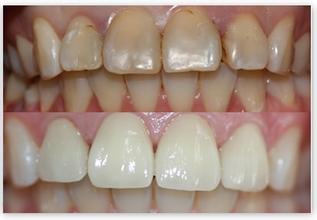
美牙冠有什么样的优势
来源:康贝佳口腔 发布时间:2018-02-08 09:14
  牙齿做美牙冠的优势在哪,现在牙齿的很多问题让人苦恼不已,美牙冠的出现让很多的爱美人士得到了满足,现在美牙冠越来越多的走入了人们的生活,那么牙齿美牙冠究竟有什么优势呢?昆明友谊口腔医院医生为您详解吧。
 
  美牙冠是一种新型的美牙技术,具有美牙不拔牙,微痛苦,时间短,牙齿坚固,多年后牙龈不会出现黑线等优点。牙齿修复选择美牙冠具有的优势主要有以下几点:
 
  1·仿真性
 
  更大程度模仿真牙的生物机械性和结构完整性。每颗美牙冠都由外部的仿生瓷、中间的纳米瓷粉、内部的生物瓷经高温融合而成,在结构上与真牙的牙釉质、牙本质相同,同时根据人体工程学原理,设计改造个人口腔咬合关系,从而达到与真牙一致的感觉。
 
  2·美观性
 
  由专业的美牙医生利用三维数码立体成像技术,将美学和口腔医学融合,根据个人肤色、脸型、牙列特点,利用更新激光雕刻技术,全方位休整、微雕、对比,制定出与本人整体牙列、口腔维度更为匹配的牙齿形态。
 
 
 
  3·健康性
 
  采用的生物瓷是仿生冠的主要材料,生物瓷良好的物理“惰性”,不会受到酸碱性不同的食物、液体的侵蚀,更没有的放射性,使牙髓、牙神经得到有效保护。
 
  4·仿生性
 
  美牙冠是生物仿生学的更新科技,采用德国更新生物仿生技术,历经无数次的临床应用,在牙齿的形态、色泽、功能、结构、相容性等各个方面比照真牙研究而成。
 
  美牙冠技术的适应症相当广泛,可将严重的口腔牙列不齐、牙缝、四环素牙、氟斑牙、畸形牙、变色牙及各种牙齿缺损、牙齿缺失和烤瓷失败边缘发青等进行修复,让有牙病患者能够如愿以偿,恢复整齐洁白牙齿。