- 当前位置: 首页 > 全瓷牙
- 全瓷牙的价格
- 来源:康贝佳口腔 发布时间:2018-04-16 10:45
-
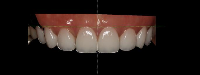
全瓷牙是一种先进的牙齿修复方式,无论是内冠还是外冠全部都是由瓷做成的,这种全瓷牙不会引起牙龈变色,而且通透性更好,在价格上也会比一般烤瓷牙更贵一些。
全瓷牙的分类及价格
全瓷牙的价格需要由全瓷牙的材料决定。全瓷牙的材料可分为氧化铝全瓷牙、铸造全瓷牙、二氧化锆全瓷牙等,医生会根据患者的具体口腔情况来选择为适合的全瓷材料。因此,材料不同,价格自然也不相同。

1、二氧化锆:二氧化锆全瓷牙是为坚固的一种牙齿修复体,因而用它来修复牙齿不易出现碎裂的情况,其次它可用于美容和修复缺失的牙齿,它能对多颗的牙齿进行修复,即是可作连冠的牙齿修复。
2、铸瓷牙:铸瓷牙不适合做连冠的修复,只适合对单冠的牙齿做修复,它的透光性相对而言比较好,有着良好美学特性以及生物兼容性,牙基底没有黑色的边缘。
3、氧化铝全瓷牙:用它来修复牙齿在牙根边缘的部位不会留有黑色的边缘,它的外观也比较独特,有着半透明的外观,因而它的美学特性比较好,用它来修复牙齿不会发生牙龈炎症的现象。
【温馨提示】康贝佳口腔给您推荐氧化锆全瓷牙,临床应用广的也是氧化锆。氧化锆坚固、耐用,遮色效果佳,兼具美观与强度,主要适用于后牙单冠、较长固定桥的修复、前牙重度变色牙和金属桩核的修复。>>>详情咨询了解更多二氧化锆全瓷牙>>>
做全瓷牙规避不良修复体
选择材料不好的烤瓷牙材料(如已经淘汰的镍铬)不仅效果不自然,颜色显得过假,还会因为烤瓷牙作不密合,细菌滋生,还会残留食物残渣,产生异味。同时还会导致牙龈红肿、出血和炎症的发生。

节约全瓷牙费用,康贝佳告诉您
选择正规医院,保障不打折;选择专业医生,效果事半功倍;术前准备充分,及时沟通避免纠纷;全瓷牙术后护理得当,延长牙齿寿命。>>>全瓷牙可以用多长时间?>>>
康贝佳口腔——中国人自己的专业口腔连锁品牌
康贝佳口腔是一家具有现代化标准的数字智能口腔连锁机构(沈阳、北京、大连、沈阳、苏州、无锡、常州),集医疗、科研、美容、种植为一体,以生态医疗为动 力,数字口腔为支撑,不断引进设备和进口材料,汇集国内外众多口腔医学医生,特设有牙齿种植科、牙齿正畸科、牙齿美容科、牙齿护理科、牙齿治疗科等六 大科室。康贝佳口腔一直致力于中国大中城市的高端人群、社会精英及国内外所有口腔健康美丽的需求人士。

























