- 当前位置: 首页 > 四环素牙
- 四环素牙如何治疗?
- 来源:康贝佳口腔 发布时间:2018-04-16 10:41
-
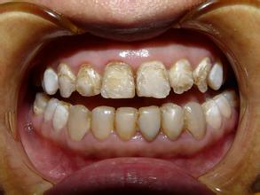
很多60、70年代的人由于小时候服用过四环素类药物,致使正在生长发育中的牙齿吸收了这类药物,这些药物在牙齿上留下的代谢产物,沉积在牙本质小管内,从而使牙齿呈灰、黄或棕色改变,这就是医学上所说的四环素牙。那么除了牙齿颜色变黄变灰之外,四环素牙还有哪些危害呢?又有哪些治疗方法呢?对此,我们来听听康贝佳口腔医生怎么说。>>> 四环素牙怎么办?在线咨询医生>>>

四环素牙危害非常大,主要有以下三点:
1、引起牙釉质发育不全,乳牙、恒牙、混合牙列变色
偶尔服用四环素类药物,对牙的损害很小,而若常服,其伤害不言而喻。且孕妇服用四环素对胎儿会有影响,在妊娠4个月以上服药者,会使孩子出现乳牙变色或牙釉质发育不全等。
2、加速牙齿“矿化”
严重的四环素牙会加速牙齿的“矿化”(即牙齿发灰、发黑等现象),很容易导致牙体过敏和脆化,引发各种口腔疾病。
3、出现牙釉质缺损
牙齿形成期时,服用药物越早、用药剂量越大,用药时间越长,四环素牙对孩子牙齿发育的危害越大,牙齿变色越重,伴有牙釉质发育不全等,甚至出现牙釉质缺损。

如何治疗四环素牙呢?
常见的治疗四环素牙的方法主要有皓齿美白、贴面、烤瓷牙三种,其中以皓齿美白的效果较为显著。>>>想了解更多,直接咨询>>>
皓齿美白是一项正流行于欧美的较新牙齿美白技术,它不仅可以去除牙齿表面的色素沉积,同时可进入牙齿深层达到脱色的效果。使用皓齿美白技术,其效果可提高5-14个vita色阶,操作过程仅需三十分钟,,美白效果可维持两年以上。
更多关于四环素牙的疑问,可在线咨询,或者拨打咨询电话024-31657653。
- 上一篇:四环素牙如何治疗?
- 下一篇:沈阳哪个医院治疗四环素牙好


























