- 当前位置: 首页 > 四环素牙
- 如何判断是否患有四环素牙?
- 来源:康贝佳口腔 发布时间:2018-04-16 10:27
-
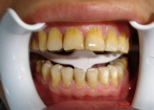
生活中很多人都听说过四环素牙,那么如何判断自己的牙齿是否患有四环素牙呢?康贝佳口腔医生表示,判断是否是四环素牙,主要从以下几个方面来看:

1、四环素钙复合物在牙本质中的沉积要比在釉质中的高四倍(这也是四环素牙颜色难以去除的重要原因),由于黄色层呈波浪形,似帽状,大致与牙的外形一致,所以整个牙齿均有颜色的改变。>>>我有疑问,在线咨询>>>
2、四环素牙开始多为黄色,在阳光照射下呈明亮的黄色荧光,以后由于阳光作用而逐渐由黄色变成棕褐色或深灰色,所以这种改变以前面的切牙为先。
3、一般牙齿着色的程度与四环素的种类、剂量和给药的次数有关。例如:金霉素易致牙齿偏灰棕色,四环素和土霉素偏于黄色。
4、四环素牙的前牙着色比后牙明显,乳牙着色比恒牙明显,因为乳牙的釉质较薄、透明,不易遮盖牙本质中的黄色复合物。
5、四环素牙引起牙齿着色的釉质发育不全在牙齿发育期较明显,但6-7岁后再用这类药物,引起的牙齿变色就不会太明显。
6、这类人都有妊娠、哺乳期或儿童期服用四环素类药物的病史。>>>四环素牙的美白方法有哪些?>>>
温馨提示:针对不同程度的四环素牙有不同的治疗方法,所以患者应该去专业的口腔医院详细检查后再做治疗。更多关于四环素牙治疗的疑问,可点击在线咨询,网上咨询康贝佳口腔医生,或者拨打咨询电话024-31657653。
- 上一篇:重度四环素牙怎么变白?
- 下一篇:四环素牙的不同程度治疗


























