• 康贝佳首页
  • 欢迎来到康贝佳官方网站,专注口腔健康,笑出精彩人生!咨询热线:024-31657653
  • 关于我们:

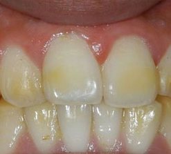
色素牙

色素牙包括黄牙、黑牙、四环素牙、氟斑牙、药物性变色牙、遗传性黄牙、主要表现就是牙齿黑、黄不好看。

治疗方法:牙齿美白

适应人群:各类牙齿颜色难看者

抽烟导致的烟渍牙怎么美白
大部分抽烟的人士,夹烟的两个指头会微黄,当然也会在口腔内留下一丝的印记,尤其是在一口洁白的牙齿之...[详细]2016-12-25 阅读:1780

应对烟渍牙,3招任你选
中国烟民比网民都多,包括现在女性也越来越多的爱上了抽烟,长期抽烟,而又不注意牙齿清洁的话就很容易...[详细]2016-09-19 阅读:1774

四环素牙齿松动的原因
当我们发现牙齿有松动的时候一定要及时的治疗。因为牙齿一旦松动就会引发牙龈萎缩、牙齿自然脱落等症状...[详细]2016-12-25 阅读:1725

氟斑牙治疗要多少钱
氟本身对于人体是双重性质的,它一方面可以增加牙齿的坚固度,对于氟斑牙人们是较为头疼的,因为它通常...[详细]2016-09-19 阅读:1719

四环素牙怎么办?
小时候,由于没有太多的口腔知识,一些人由于滥用药导致了牙齿变成四环素牙,随着口腔医疗的发展,美白...[详细]2016-09-19 阅读:1687

牙齿为什么黄?
很多人因为牙齿黄而苦恼,那么是什么原因导致的牙齿变黄呢? 一、生理性的牙齿颜色改变 人的牙齿随着年...[详细]2016-08-30 阅读:1686

牙齿变色的原因与治疗方法
营养因素 :牙齿在发育过程中由于营养不好或生过病,会使牙齿的钙化受到影响,牙齿会黄而松脆。 这种原...[详细]2017-03-30 阅读:1623

牙齿美白手册:牙齿白一度,好感升十度
牙齿是白的好看还是黑的好看?我想绝大多数人都会选择白。 然而,在旧伊丽莎白女王的时代,上层阶级却以...[详细]2019-03-20 阅读:1323

吸烟导致的牙黄要怎么办?
吸烟导致的牙黄要怎么办?吸烟是有害健康,但一直以来却很少人戒烟成功,康贝佳口腔医生介绍说,抽烟导致...[详细]2016-08-30 阅读:1139
病症介绍

  色素牙包括黄牙、黑牙、四环素牙、氟斑牙、药物性变色牙、遗传性黄牙、外因性色素牙(咖啡、茶渍、烟渍沉积)等等,主要表现就是牙齿黑、黄不好看。

  1.饮食、烟茶咖啡等附着于牙齿表面,黄或黑色,

  2.小时候吃过多的四环素药物造成四环素牙齿,牙齿呈灰、黄或棕色。

  3.牙齿发育钙化期中饮用了氟含量过高的水导致氟斑牙。依受影响的程度不同,可呈白垩色,黄褐色或暗棕色。

病症危害

  1、影响外在形象。色素牙患者一笑就会露出一口黑黄的牙齿,十分影响个人形象。

  2、影响心理健康。每个人都希望自己看起来优雅、漂亮,色素牙非常影响个人形象,因此很多人会为些自卑、自闭,不喜欢跟人交流。

治疗方法

  1、轻度色素牙,黄牙,四环素牙,氟斑牙等——皓齿美白

  康贝佳率先引进的牙龈美白技术美白牙齿,它被称为效果更好的午休美容项目,美白效果更直接更持久,仅需30分钟,其效果可提高5~14个vita色阶,能有效地抑制牙菌斑的形成。它的优势在于无刺激、保护牙齿,美白效果持久。

  2、色素牙严重,重度四环素牙,重度黄牙等——德国智能美牙冠

  德国智能美牙冠是康贝佳口腔引进的品质的技术之一,具有快速正畸、让美齿、矫齿、治齿一步到位的功效。具有美牙不拔牙,无痛苦,时间短(只需7天),牙齿坚固,牙龈不会出现黑线等优点,从而达到终生有保障的美牙效果。

  3、色素牙严重,重度四环素牙,重度黄牙等——E-max瓷贴面

  瓷贴面是指在不磨牙或少磨牙的情况下,应用粘接材料,将薄层瓷修复体固定于患牙唇、颊面,以恢复影响美观的缺损、遮盖变色等缺陷的一种修复方法。因其对牙髓刺激小,颜色稳定、美观,具有良好的生物相容性、耐磨损,不易着色等特点,易被患者接受。

技术优势

  温馨提醒

  做牙齿美白,一定要选择正规、的专科医院。康贝佳口腔在保证技术精湛的基础上,更能保障美白者获得更适合自身的、私人定制的美白方案,而不是草率而为,平添痛苦还达不到理想的美白效果。

常见问题
  • 四环素牙齿松动的原因

    当我们发现牙齿有松动的时候一定要及时的治疗。因为牙齿一旦松动就会引发牙龈萎缩、牙齿自然脱落.....

  • 牙齿为什么黄?

    很多人因为牙齿黄而苦恼,那么是什么原因导致的牙齿变黄呢? 一、生理性的牙齿颜色改变 人的牙齿.....

  • 吸烟导致的牙黄要怎么办?

    吸烟导致的牙黄要怎么办?吸烟是有害健康,但一直以来却很少人戒烟成功,康贝佳口腔医生介绍说,.....