- 当前位置: 首页 > 色素牙
- 牙齿美白手册:牙齿白一度,好感升十度
- 来源:康贝佳口腔 发布时间:2019-03-20 17:20
-
牙齿是白的好看还是黑的好看?我想绝大多数人都会选择白。于是人们开始对自己的牙齿产生了「美白」的强烈审美需求。这从电视、网络到杂志、报纸的广告上就能略知一二。面对镜子里自己略略发黄的牙齿,在各类社交场合难免会露出怯色。洁白、整齐的牙齿正是自信笑容得以展现的基础配置。
想要知道牙齿牙齿怎么样才能变白,就应该知道牙齿为什么会「变」黄。
|01 牙齿为什么会变黄?
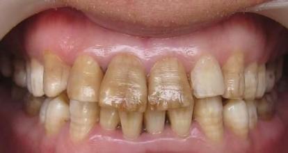
抽烟、喝茶、咖啡、可乐经常会造成牙齿变黄,比如像这样:

由于食物、饮料、漱口水中的色素附着在牙齿表面,会引起牙齿着色;

牙齿先天或后天的病变、药物的影响导致的牙齿内部结构发生着色,比如「氟斑牙」、「四环素牙」。
|02 「洗牙」真能把牙齿「洗白白」?
洗牙的基本原理是采用物理方法清除牙结石,配合「喷砂治疗」还可以非常高效地清除牙齿表面沉积的色素(比如茶渍、烟斑等)。所以,如果您的牙齿颜色是因为各种牙齿表面的色素沉积或者牙结石导致的,那么洗牙可以让你的牙齿「变白」。
但值得注意的是,如果您的牙齿颜色本来就偏黄——那么洗牙多就能让牙齿回到您原本的颜色,而没有任何「增白」的效果。

|03 皓齿美白是什么,真的能让牙齿变白?
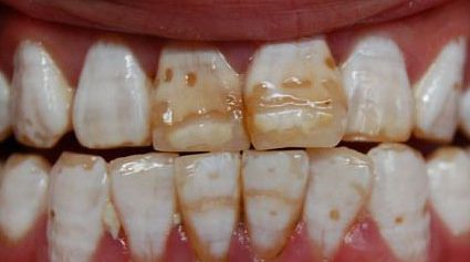
事实上,尤其是对于着色较严重的牙齿,上面的方法可能就没有用了。因为这种很可能是从牙齿内部透出来的,那我们该怎么办呢?
要让牙齿由内而外「白」出来,大家其实可以试一下「皓齿美白」。

皓齿美白,学名叫做牙齿漂白治疗。这种治疗是在短时间内,将少量可控制的氧化剂(如过氧化氢——也就是双氧水的主要成分)置于牙冠处进行漂白,同时辅助使用激光、红外线、蓝光(冷光)照射从而增加脱色效果。
|04 全瓷牙、瓷贴面这些是不是「伤」牙齿?
对于一些非常顽固的氟斑牙、牙髓坏死之后的牙齿严重变色、本身就存在牙齿缺损的情况,皓齿美白也效果不大,那么还能怎么办呢?

牙医在这些牙齿外面做上烤瓷或者全瓷的牙套或者贴面,彻底把原本牙冠的颜色遮盖起来。只是确实是要磨除一部分牙体组织,某种意义上说是「伤」牙齿的。但是基本不会对原本牙齿的健康状况造成影响,还给病人带来了美观的感受,带来了自信交往的能力,总体还是利大于弊的。
|05 知识点总结一下
想要牙齿白,那么美白牙膏、洗牙、皓齿美白、瓷牙都是可选项。但要明白并不是每一个选项都适合你,它们美白的程度从小到大,但损伤也是从小到大哦!选择损伤相对小,受益相对大的才是适合自己的选择。
- 上一篇:牙齿变色的原因与治疗方法
- 下一篇:没有了

























