• 康贝佳首页
  • 欢迎来到康贝佳官方网站,专注口腔健康,笑出精彩人生!咨询热线:024-31657653
  • 关于我们:

当前位置: 首页 > 全瓷牙

全瓷牙

Dental implants

免费咨询电话:
024-31657653

QQ咨询在线咨询
全瓷牙要多少钱一颗
来源:康贝佳口腔 发布时间:2017-03-31 13:32
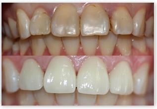
  全瓷牙要多少钱一颗?牙齿作为五官主要安排之一,天然遭到大家的重视。牙齿残缺修正已成为口腔职业中的抢手项目,全瓷牙则是修正牙齿的一种很好的办法,目前口腔界流行的是一种新的无金属内冠的烤瓷牙:全瓷烤瓷牙。全瓷牙因其高效、漂亮舒服等特色,遭到了许多朋友的喜爱。随之大家也会关心,沈阳全瓷牙要多少钱一颗?
 
  常见的三类镶牙方法
 
  1、全瓷牙多少钱与挑选的医院及其医师有联系。每家医院的等级不一样,天然里边的医疗设备与全体医疗水平就各不相同了,因而会对全瓷牙的报价有必定的影响。但考虑到成熟的全瓷牙修正技能能够省去许多返修和维护养护的费用,所以在挑选烤瓷牙修正医院时,尽量挑选有天资认证的技能精巧的口腔医院。
 
  而专业的医师的的口碑是实力与技能的相结合,是很多临床经验的所堆集,天然要比普通的医师费用要略贵些。全瓷牙修正的漂亮性和舒服程度很大程度上取决于医师的技能水平,因而做全瓷牙修正,必定要挑选信得过的医师,通过深化沟通,了解技能和报价概况后再做决议。
 
  2、全瓷牙多少钱与烤瓷牙的原料有很大联系。全瓷牙的原料并不是都是很挨近的,原料的好坏直接影响着报价的动摇。但朋友在挑选的时分不要一味地自个想选哪种就选哪种,还要依据本身的状况来断定啥是较合适自个的。
 
  二氧化锆全瓷牙有着别的烤瓷牙少有的长处:高强度、高密度,无金属内冠;高科技生物资料,生物相容性好,对牙龈更舒服、很少有过敏反应,很合适应用于口腔,避免了金属在口腔内发生的过敏、刺激、腐蚀等不良刺激,独具抗决裂性及决裂后强韧的固化性能;便利核磁共振查看;色泽天然,挨近天然牙。
 
  尤其是对漂亮请求高的病人愈加重视其色泽天然这个长处,由于这么就使修正体同健康牙齿浑然一体,很难区分了。