• 康贝佳首页
  • 欢迎来到康贝佳官方网站,专注口腔健康,笑出精彩人生!咨询热线:024-31657653
  • 关于我们:

当前位置: 首页 > 全瓷牙

全瓷牙

Dental implants

免费咨询电话:
024-31657653

QQ咨询在线咨询
瓷贴面有什么样的优势
来源:康贝佳口腔 发布时间:2017-04-08 15:33
  随着年龄的增长,口腔问题大多会出现。不良的口腔卫生习惯,会导致牙齿不好看:黄牙、氟斑牙等等,对美观影响非常大,还打击人的自信心。现在的瓷贴面技术,能够让您的牙齿白的透亮,笑容更加有魅力。那么瓷贴面究竟有啥优势呢?
 
  【案例回顾】
 
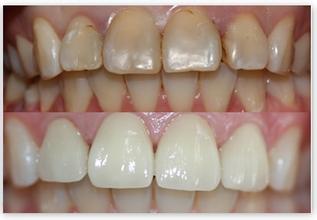
  我的四环素牙是打小就有的,我也没有办法。红花有了绿叶的衬托才更加的娇艳,笑容有了牙齿的辅助才更加的灿烂。我却不敢,一直很自卑,不敢在人前笑、说话。看到两个人在窃窃私语,就觉得他们是在议论我的牙齿。我决定改变这种现状,我也想有一副健康的牙齿,在攒了一笔钱之后,去牙科医院,接受牙齿治疗。
 
  考虑到希望牙齿的颜色自然,更大限度的保留牙体组织等很多原因,而且我的牙齿状况也符合治疗条件,我决定做瓷贴面。治疗过程也不长,一周就搞定了,去了两次医院。
 
  第一次的治疗是先做牙模,然后打磨牙齿表面,还算好受,不痛苦,用舌头舔能感觉牙齿变得不再光滑,涩涩的;为了后面几天的生活的方便,医生给我戴上了临时的贴面。当天晚上,麻药过后,牙齿的丝丝痛感也变得明显起来。
 
  还好只要一周,一周之后就是去医院做后一步的治疗。取下了临时贴面,在打磨后的牙齿上涂上了一层东西,戴上正式的瓷贴面。后一次治疗感觉一点不难受,也许是因为对一口美丽洁白牙齿的期待冲淡了疼痛。
 
 
  【瓷贴面优点】
 
  一、美观:瓷贴面仿真的美容效果,具有与天然牙体组织相同的光学特质,不含有金属成分,表现出至佳的美学效果。并且瓷本身的高耐磨性和不着色基本可以达到长久的美白效果。
 
  二、舒适:瓷贴面不需要磨切牙齿的舌侧部分,可以保存舌侧的形态,对颌牙进行有效保护,同时舌头接触到的仍然是未被破坏的天然牙齿,触觉自然、舒适,避免舌头与传其接触时的“异物感”。医生在线解答
 
  三、质高:磨除牙体组织少,这样可以保存大量的牙体组织,不杀神经,基本上控制了术后牙髓炎症、坏死等全冠修复的后遗症,可以保持天然牙齿长期的健康。
 
  四、健康:采用瓷贴面具有较好的透光性,可以平齐牙龈即可,这样有利于保护牙龈及制取印模和粘结瓷片。